漳州市中医院 > 新闻中心
新闻中心
- 中药炮制技术是中医药学重要的组成部分,是连接原药材与临床应用的中间环节,体现了中医用药的特色。为了传承发展好漳州中药炮制技术,收集整理好老药工的炮制经验,抢救濒临失传的传统中药技艺,9月25日-26日,由福建省中医药学会、漳州市中医药学会主办,福州市中医院、漳州市中医院承办,漳州市中医药学会中药炮制分会协办的“福建省--漳州市中医药学会中药炮制分会2020年年会暨福建省中药炮制特色技术培训项目”在漳州宾馆顺利召开。 9月25日...发布时间:2020-10-01
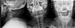
- 68岁的朱大妈骑电动车外出,不慎摔倒伤及头颈部,求诊漳州市中医院骨伤科,行颈椎X线、CT、MRI检查结果为:齿状突骨折伴寰枢椎脱位。该部位的骨折伴脱位对于任何年龄段的患者都是非常危险的,手术难度和风险非常高。寰枢椎钉棒内固定融合术是治疗此类疾病的最佳方案之一,但对手术团队医护人员的要求极高。 图一:颈椎齿状突骨折、骨折移位伴寰枢椎脱位 图二:颈椎齿状突骨折,骨折线前下往后上,属于IIC型 寰枢椎在人体结构中占有极为...发布时间:2020-10-01
- 心脏是人体收集和排出血液的“泵”, 像是一个发动机, 推动着血液在血管里运行, 然后输送全身, 是维持生命的原动力。 心血管疾病是威胁人类健康最常见的疾病之一, 其发病率在我国居首位, 且其突发性的特点, 使患者随时面临生命危险。 漳州市中医院心血管科多年来不断加强学科建设,通过运用中西医结合的新理论、新思维、新方法,挖掘经典,关注临床,重点攻关,在重大疑难疾病、常见病和多发病防治,以及中草药的挖掘和整理方面取得了一定...发布时间:2020-09-25
- 患肢剧烈疼痛,快速肿胀,无法移动是骨折患者最真实的感受,可是到了医院后,患者们发现,骨科医生们对自己的感受似乎一点儿也不重视,因为他们虽然告诉自己需要手术,但又不马上安排,只是先简单地处理一下,有时是用石膏固定,有时是支具外固定(皮牵引或者骨牵引)等等,迟迟不见手术安排。焦急的患者和家属担心不赶紧手术会影响骨折愈合和后期康复,可是医生们为什么就“不着急”呢?来听听骨科医生给出的专业解释: 首先,回答您对患肢肿胀的担心...发布时间:2020-09-25
- 为进一步规范儿童骨折的微创诊疗,9月19日~20日由漳州市中医院主办的国家中医药管理局中医药继续医学教育项目《儿童骨折微创治疗学习班》在我院顺利召开。 本次学习班采用网络直播的方式进行培训。学习班以儿童骨折微创规范诊疗为专题,通过邀请国内知名骨科专家进行线上专题交流,为国内小儿骨科医生提供了一场学术盛宴。 福建省医学会骨科分会主任委员、福建医科大学附属第一医院张文明教授在开幕式上致辞,漳州市中医院副院长林石明致欢迎辞。...发布时间:2020-09-25



