漳州市中医院 > 新闻中心
新闻中心
- 中医根据不同人的身体状况,把人体分为九种体质,每种体质都有自身特点,我们要读懂自己的身体,必须先弄清楚自己属于哪类体质,自己的身体到底需要什么?再根据自己的体质类型,选择怎样吃,怎样起居,怎样保健,怎样度过一年四季,这就是体质养生。下面让我们一起来了解下气虚体质的调理方法。 气虚体质是指人体的生理功能处于不良状态,体力和精力都明显感到缺乏,稍微的活动一下或工作、运动就有疲劳、气短等不适的感觉。现代医学将这种情况归于亚...发布时间:2020-07-09
- 近年来,随着生活水平的提高,膳食结构的改变、人口老龄化等等因素,心血管疾病俨然成为严重威胁中老年人健康的常见疾病,具有“发病率高、死亡率高、致残率高、复发率高、并发症多”的特点,不仅增加了社会、家庭经济负担,同时也影响患者生活质量。 多年来,在漳州市中医院漳州中医心病流派团队的努力下,许多心血管病人,通过中医辨证施治综合治疗,病情稳定,生活质量有了明显提高。 内外同治 代代“治心人”薪火相传 “漳州中医心病学术流派传承...发布时间:2020-06-30
- 在“七一”建党节来临之际,6月24日,漳州市中医院在门诊五楼党员活动室召开了庆祝中国共产党成立99周年暨表彰会。党委书记张维波主持会议,医院党委学习中心组成员参加了此次会议。 党委书记张维波宣读了《中共漳州市中医院委员会关于表彰2019年—2020年度先进党支部和优秀共产党(优秀党务工作者)的决定》。院领导为获奖支部和个人颁奖。 奋斗成就历史,实干创造未来。会议要求,各党支部要充分发挥新时期的战斗堡垒作用,全院党员干部要努...发布时间:2020-06-30
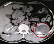
- 46岁的林先生最近比较烦恼,左侧肾脏长了个囊肿直径达8cm,医生告诉他如果不做手术,就有可能因剧烈活动或腰部外伤导致肾囊肿破裂,引发出血可危及生命。 经过慎重考虑,林先生求诊于漳州市中医院泌尿外科,接诊医生为陈惠新副主任医师。林先生的囊肿长在了肾盂的旁边,术语叫肾盂旁囊肿,周围被肾脏的实质严密包围着,稍有不慎就会损伤大血管引起大出血,危及生命。 为了确保手术顺利实施,泌尿外科全体医师对手术方式、术中可能出现的问题及应...发布时间:2020-06-30
- 我院30余年来坚持开展“三伏灸”,疗效显著深受患者好评,2020年“三伏灸”火热预约开始啦! 什么是“三伏灸” “三伏灸疗法” 也称“药物发泡疗法”或“敷贴发泡疗法”。起源于秦汉,创新于现代,通过药物对特定穴位的温热刺激,引起穴位局部皮肤的充血,甚至起泡,促进血脉运行,疏通经络,以达到祛湿驱寒、止咳平喘、健脾益肾、疏通经络、强身健体、增强免疫力的作用,预防和治疗多种慢性疾病。 为什么要做“三伏灸” 三伏时是...发布时间:2020-06-23




