预约挂号 预约挂号
预约挂号
门诊排班 门诊排班
门诊排班
专家介绍 专家介绍
专家介绍
科室介绍 科室介绍
科室介绍
交通指南 交通指南
交通指南
官方微信 官方微信
官方微信
回到顶部 回到顶部
回到顶部
收起
oprate_icon_09.png
赞!不用开刀就能把肾脏内8公分大的囊肿取出来
发布时间:2020-06-30 09:21
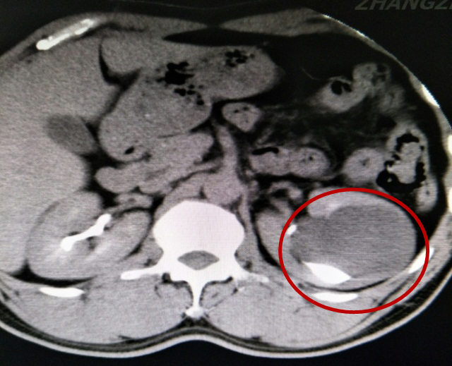
      46岁的林先生最近比较烦恼,左侧肾脏长了个囊肿直径达8cm,医生告诉他如果不做手术,就有可能因剧烈活动或腰部外伤导致肾囊肿破裂,引发出血可危及生命。

经过慎重考虑,林先生求诊于漳州市中医院泌尿外科,接诊医生为陈惠新副主任医师。林先生的囊肿长在了肾盂的旁边,术语叫肾盂旁囊肿,周围被肾脏的实质严密包围着,稍有不慎就会损伤大血管引起大出血,危及生命。


赞!不用开刀就能把肾脏内8公分大的囊肿取出来


为了确保手术顺利实施,泌尿外科全体医师对手术方式、术中可能出现的问题及应对措施进行认真地讨论,经多方论证决定采用特殊体位“斜仰截石位”,在B超引导下穿刺精确定位,实施输尿管软镜下肾盂内激光切开盂旁囊肿内引流术。


在厦门大学附属第一医院泌尿外科陈斌教授的指导下,泌尿外科陈惠新团队使用输尿管软镜,仅用了一个半小时就完成了囊肿切开、引流,彻底解决了困扰林先生的腹部疼痛问题。术后第二天林先生就可以下地自由活动了!


赞!不用开刀就能把肾脏内8公分大的囊肿取出来

赞!不用开刀就能把肾脏内8公分大的囊肿取出来 

     陈惠新介绍说,采用“斜仰截石位”特殊术式治疗肾盂旁囊肿在漳州地区尚属首例。输尿管软镜技术属于一种NOTES(经自然腔道)手术,可以通过尿道、输尿管达到肾脏内,处理病变部位,避免了开刀及破坏人体正常的解剖结构,该手术与传统开放手术及腹腔镜手术方式相比具有创伤更加微小、手术简化、效果明确、复发率低、安全有效等优点。

友情提示:市民朋友如果出现腹痛、腹胀、恶心、腰麻、腰痛、尿痛、尿血等症状,很有可能就是泌尿系统出了问题,如囊肿、结石等等,请尽快到正规医院检查、及早治疗。