近日,漳州市中医院骨伤科成功实施了股骨头坏死“带血管蒂腓骨骨移植术”,为早中期股骨头坏死患者带来福音。
接受手术的林女士,52岁,半年前开始出现左髋部疼痛,活动时疼痛加重,在外院治疗效果不好。经多方打听,得知我院骨伤科是国家临床重点专科,对这类疾病的治疗很有经验,反复权衡后决定到我院求诊。
骨关节专家林石明副院长及其医疗小组成员,经过反复研究患者的核磁共振及CT三维血管重建等资料后,考虑为左侧股骨头坏死,程度在二期到三期之间,具有“带血管蒂腓骨骨移植”手术指征。目前国际上公认“带血管蒂骨移植”这项保髋技术成功率较高,但该手术技术难度较大,需要把小腿上约8cm腓骨连同临近的腓骨动脉血管截一段下来,植入股骨头颈的坏死区域,在显微镜下,将腓骨动脉与股骨头临近血管进行对接缝合,重建血供让坏死股骨头获得新生。该手术一旦成功,将为林女士保留住髋关节功能,能较快恢复日常劳动,且费用较低。
术前影像
经术前精心准备并与家属充分沟通后,医疗小组充分发挥国家临床重点专科学科优势,组建了由关节外科专家和显微手外科专家组成的医疗团队,成功为林女士施行了手术。术后常规选用中医特色疗法配合现代骨伤康复训练治疗。如今,林女士左髋关节疼痛明显好转,髋关节功能恢复神速,一提及林石明医疗团队林女士不禁竖起大拇指连声赞叹。
术中

林石明副院长说:“据推测,我国每年新发股骨头坏死(ONFH)患者在10-15万例。股骨头缺血性坏死是‘不死癌症’,主要是因为病变股骨头发生血供中断或者损伤,导致骨细胞以及骨髓成分死亡,进而出现股骨头坏死,骨结构改变及骨关节面塌陷,最终导致髋关节功能丧失,只能更换金属关节。所以尽可能早期治疗,争取保住患病的股骨头,是目前技术攻关的方向”
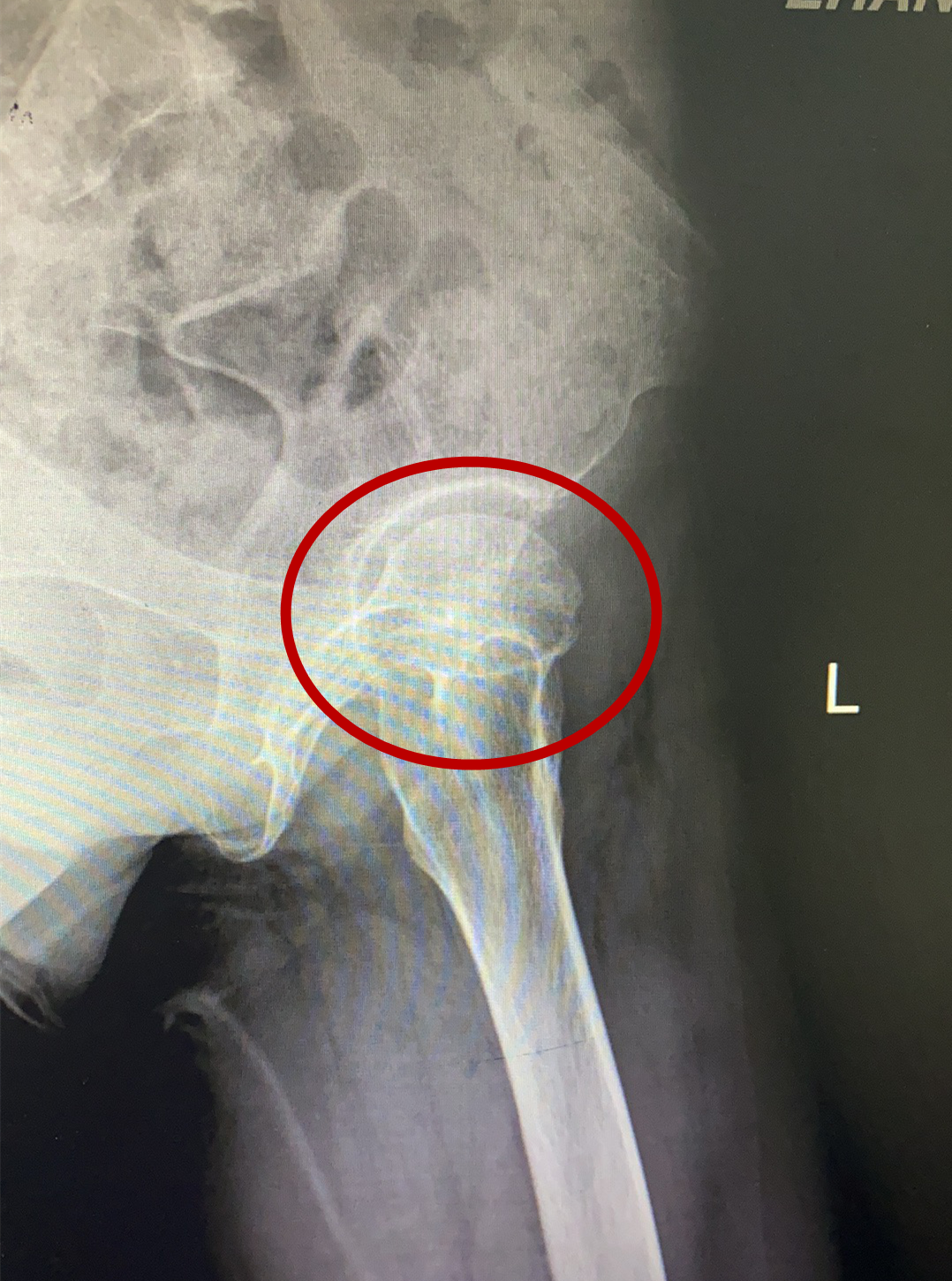
术后影像

经过大量的临床实践总结,现我院已形成了一套成熟的诊疗方案“独具特色的中医药疗法+‘保髋手术’+全髋关节置换术”,医生们可以根据疾病所处不同的阶段,科学选择相应的治疗手段,确保每一位病人得到最优的治疗。目前,我院开展治疗股骨头坏死的保髋手术有:血管介入治疗、髓芯减压、带血管或不带血管蒂骨移植等。“带血管蒂腓骨骨移植术”的成功开展,为我院攻克股骨头坏死武器库再添新利器,该技术能显著提高病人的生活质量,有效避免或减少股骨头坏死病人做人工关节置换的手术机会,为股骨头坏死患者治疗带来新希望。
骨伤科医疗小组专家风采

主持:福建省教育厅、福建省卫生厅、漳州市科技局等科研项目六项,撰写论文30余篇。荣获全国中医药系统创先争优活动先进个人、全省卫生系统先进个人、福建省抗震救灾先进个人、福建省第四届杰出青年卫士、漳州市第三批优秀人才、漳州市首届有突出贡献中青年医疗专家、漳州市名中医等荣誉称号。
擅长:肩关节、膝关节、髋关节等关节置换技术、关节镜手术、中西医结合方法治疗骨关节疾患、创伤、运动医学创伤。
擅长:骨关节病、四肢创伤、关节外科、关节镜外科、足踝外科等疾病的诊治。目前承担福建中医药大学校管科研课题1项,在省级以上刊物发表医学论文5篇。
叶臻 副主任医师,硕士研究生导师
擅长:膝骨关节炎、股骨头坏死、膝关节半月板损伤,交叉韧带损伤,肩袖损伤等疾病的诊治。运用中医中药、关节镜微创技术以及全膝关节置换、单间室置换、髌股关节置换、全髋关节置换技术治疗各种关节疾患。
现任:福建省海峡医学会骨科分会、南少林手法医学会会员。参加3项科研课题的研究工作,承担福建省卫生厅青年科研课题、漳州市自然科学基金各一项。在省级以上期刊发表论文5篇。